七十岁老人下半口牙缺失在昆明柏德做6颗进口种植体修复,看看效果
-
项目:
-
日期:2020-10-23 14:50:35 ( 1875天前 )
-
医院:
-
医生:
-
价格:
-
术前照片:
-
术后照片:
本案例内容由社区网友分享发布,如有侵权请联系本站删除
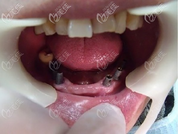
牙齿症状:70岁的李大爷,上牙松动,下牙坏死并缺失多颗,残存的牙齿大多也松动了。
来院诉求:希望做的种植牙可以保证术后啥都能吃牙还不掉,再一个就是希望做性价比高的。
种植体:德国icx ALL-ON-6种植修复。
这位70岁的老人来院,初步面诊时候,牙齿问题已经相当严峻了,下牙缺失很多,上牙松动也很明显。

在和老人交流的时候,老人说自己想做活动牙齿或者烤瓷牙,明显感到老人对于牙齿在意程度不是很深,观念还是比较老旧,比较在意价格。
医生为了看到准确的牙槽骨、牙齿情况,建议先拍CT看看。

从上图可以看出老人下牙坏死并缺失多颗,残存的也都松动了,根据老人牙槽骨条件,医生给老人的建议是做半口种植牙修复,这个技术院内做的比较成熟,成功率也比较高,老人可能对这个也不了解,说是要考虑考虑。
两天后,老人和儿子一起来了,说是自己不懂,把医生给自己讲的重复给儿子讲了一遍,儿子做了做功课,觉得医生说的比较靠谱,所以亲自来看看。
医生把CT片拿出来,把种植方案分析给他听,儿子觉得父亲也年级大了,平常爱吃豆面汤圆都吃不好,觉得是得给父亲做口好牙。

在麻药的作用下,很快就种好牙齿,医生说术后根据个人体质不同,有的人没感觉,有的人只会有轻微肿胀不适,不会有很大的疼痛,老人说他自己没啥感觉。

老人戴完牙冠后,自己还是比较满意的,昆明柏德口腔种植牙价格在当地收费还是比较合理的,重要的是老人能有一口吃啥都香的牙齿,儿子没有花多少钱就体现了孝心,还有比这更好地事情么?




