宝妈分享贴:儿童牙齿对刃是怎么矫正比较好?
-
项目:
-
日期:2020-10-15 14:46:38 ( 1878天前 )
-
医院:
-
医生:
-
价格:
-
术前照片:
-
术后照片:
本案例内容由社区网友分享发布,如有侵权请联系本站删除
一开始就是觉得孩子牙齿不齐,去了石家庄全博口腔检查后,才知道孩子是牙齿对刃,想说应该不止我对孩子牙齿关心吧,给宝妈们分享我家儿童牙齿对刃是怎么矫正的。

宝妈们一定关心儿童牙齿对刃怎么矫正?
牙齿对刃是牙列不齐的一种,一般可以做金属的、自锁的、隐形的,在我看来还是得去口腔医院听听医生的建议。
给各位宝妈科普下什么是牙齿对刃?
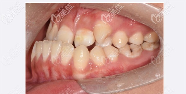
正常咬合是上前牙盖过下前牙大概三分之一左右,对刃是指上下前牙切端,没有覆合、覆盖的关系。看看我家孩子的牙齿情况,你就了解了。

在石家庄全博口腔医生给我讲,对刃也是一种轻度反颌的表现,不仅影响面容,还有咀嚼功能也会降低,咬合磨耗过大受损等。
然后给孩子拍了CT后,症状就更加明显了。下颌突出,明显看出有地包天的情况。

医生根据孩子反颌比较严峻的情况,给的矫正方案是先拔掉下颌两个前磨牙,上颌左侧重叠在一起的虎牙和侧切牙想办法排齐。

看到我娃牙齿居然比我想象中还要严峻,真心想要孩子把牙齿给做好,在和医生了解矫正方案后,我觉得还是做传统金属矫正吧,毕竟对于娃这种情况,我觉得采取保妥矫正比较合适。
戴上牙套后,给我心疼的,娃说牙疼,只能喝稀饭。

这是矫正2个月后,期间来院很多次,觉得现在能看出明显变化。

半年后我激动的拍了张上颌牙齿,真的改善蛮大的。这时候感觉找一个靠谱的医生真的太重要了。

矫正下来,在石家庄全博口腔也没花多少钱,我觉得服务和环境让我和孩子都挺喜欢的。




