西安林牙立齿口腔<诺贝尔Active上半口6颗植牙案例>
-
项目:
-
日期:2025-01-23 10:42:50 ( 322天前 )
-
医院:
-
医生:
-
价格:
-
术前照片:
-
术后照片:
本案例内容由社区网友分享发布,如有侵权请联系本站删除
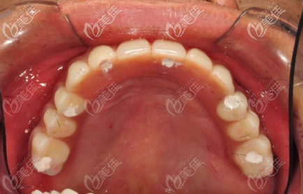
术前诊断:
这位患者上颌无牙颌,上半口全牙缺失,拍片诊断后,设计了All-on-6半口种植,也就是上颌采用6个种植体支撑即刻负重的半口无牙颌修复体。也就是说只需要6颗种植体就可以修复半口缺牙。

设计选择ALL-ON-4种植体的原因主要是,All-on-6和allon4种植体在本质上并无太大区别,不同之处是在于allon6技术能很大程度上缩短患者缺牙的时间。从拔牙到戴牙的时间不超过72h,这对于患者来说很重要,可以更快的吃东西,说话,也更快恢复美观。

6颗种植体位置模型

All-on-6半口种植牙图片


即刻修复种植后,手术当天戴牙。种植体品牌选的是诺贝尔Active,也是诺贝尔nobel种植体三大型号里面比较常用的。这个案例中诺贝尔Active种植体的价格为2W一颗,收费标准在西安来说适中。
感谢西安林牙立齿口腔提供案例来源




