上门牙缺失4颗种植案例:她找合肥华美口腔做了韩国进口奥齿泰种植牙
-
项目:
-
日期:2020-10-10 17:45:33 ( 1887天前 )
-
医院:
-
医生:
-
价格:
-
术前照片:
-
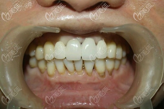
术后照片:
本案例内容由社区网友分享发布,如有侵权请联系本站删除
这是一个上门牙缺失4颗的种植案例,这位女士从25岁开始就出现牙龈出血,34岁牙齿松动,如今45岁缺失四颗门牙。
其实,她的经历是很多人牙齿命运的真实写照,缺牙似乎成了“新常态”,越来越多的朋友开始报怨饭桌上吃东西咬不动、嚼不烂,想吃的不能吃,生活质量大打折扣。
王女士牙齿缺失后,选择到合肥华美口腔找闫路医生做了奥齿泰种植牙

家住合肥某小区的王女士今年四十多岁了,原本自己牙齿就一直不好,很多颗牙都有明显松动的问题,但是却一直没放在心上,想将就了事,如今缺了四颗门牙,吃东西不方便不说,还特别影响个人形象。
在做了咨询了解了韩国种植体的品牌后,王女士落定选择了奥齿泰种植体,之后闫路医生结合王女士的CT片以及全面的口腔检查,为其制定了种植方案。
因为是连续缺了四颗牙,考虑到其牙槽骨情况还可以,就为其种植了两颗种植体,之后安装上连桥冠。
那么选择韩国奥齿泰种植牙的主要优势有:使用舒适、坚固稳定、不伤邻牙,手术仅有3~4mm微小手术切口,术后肿胀轻微出血少。
另外的两大主要优势是,咬合力强堪比真牙,如果是普通义齿它的咬合力只能达到真牙的15%,而种植牙可达到真牙的95%以上。
门牙缺失四颗种植案例图片


奥齿泰种植牙还有一个更大的优势是使用时间长久,一颗种植牙保持时间可长达数十年!




