小姐姐在靖江艾齿嘉口腔做了陶瓷半隐形牙套矫正后的走心分享...
-
项目:
-
日期:2020-09-27 17:09:22 ( 1901天前 )
-
医院:
-
医生:
-
价格:
-
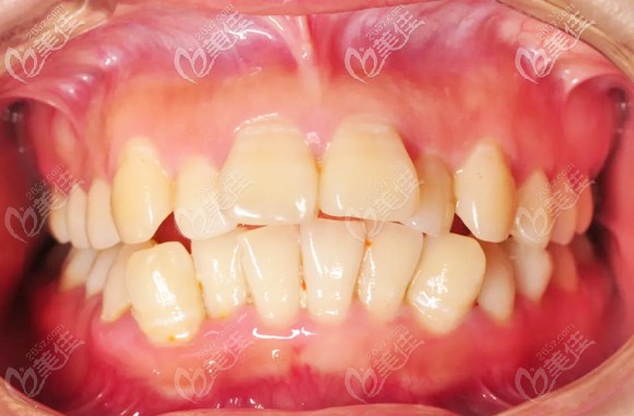
术前照片:
-
术后照片:
本案例内容由社区网友分享发布,如有侵权请联系本站删除
22岁的小姐姐,牙列拥挤,龅牙(牙性),嘴凸,选择在靖江艾齿嘉口腔做陶瓷半隐形牙齿矫正,现来分享正畸小心得喽。

小姐姐自述的矫正历程:
还是在经历了很长时间的思想斗争之后,才下决心开启了牙套之旅的。
主要是担心整牙太痛,太受罪,还担心万一碰到的医生不合格,牙没整好,还受了损伤怎么办......
选择我们靖江这家牙科,虽说门店不算很大,但是来此整牙的人还不少,也是被亲戚介绍过来的。

之前也还一直担心戴牙套太丑,其实,真的戴上了慢慢也就习惯了,也不觉得牙套丑了,反而比牙齿不整齐的时候,更敢放心的张口大笑了。
目前牙齿已经排齐了,不过,离下牙套还需几个月,医生说还需精调咬合和中线。反正,矫正是个慢活,急不得。
不过从侧面看,凸嘴已经“消失”了,面型好看多了,自我感觉颜值都蹭蹭提升了好几个档次呢。

所以真的很希望其他的宝宝们,想要矫正一定要趁早,不要犹豫,早做早美哦!
但是,必须要找一个专业的,经验丰富的正畸医生。我有个同学,在一家小诊所花5千元做的矫正,到现在3年多了,还没完成,而且牙龈明显萎缩了,好可怕哦。

而我一共才戴了1年半的牙套,效果就如此明显了,就是比她花的钱多了小一万。原来做矫正也是“一分价钱一份货”呀。




