看洛阳济仁口腔的前牙缺失种植案例,在这家种牙效果好还不贵哦
-
项目:
-
日期:2020-09-27 14:21:47 ( 1896天前 )
-
医院:
-
医生:
-
价格:
-
术前照片:
-
术后照片:
本案例内容由社区网友分享发布,如有侵权请联系本站删除
现在前牙美学种植也成为了种植牙的主流项目,不再仅仅是半口全口才能得到重视。所以现在不仅种植牙的技术已经相对成熟而且更是结合了美学的观念。
所以现在就算前牙缺失的话,也可以放心的做前牙种植牙来了哟!
看看这家洛阳济仁口腔的前牙美学种植好不好呢?

这是一位26就前牙缺失的精神小伙,原因:外伤拔除。
经口腔数据分析,间隙充足,邻牙健康,适合种植。
CT:显示大门牙牙位牙槽骨唇腭向距离月7.78mm,牙槽嵴顶到鼻底约28mm,适合种植牙。
为了满足前牙的美学要求,即刻取模制作硅橡胶模型,先做种植牙的临时牙冠。
当天种植后戴上临时牙冠的图片:

戴上临时牙两个月后复复查,无异样后再进行取模牙冠制作工序。
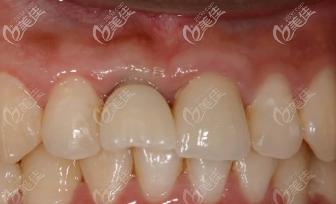
戴上牙冠后半年后复查:

你能看出来哪个是假牙吗?从图片可以看出种植牙不仅满足了和自然牙齿一样功能性还有美观性。
其实这项手术的成功不进看医生的技术还需要顾客的后期配合。

顾客本身也是很纠结,总觉得自己年纪轻轻的就要和老年人一样靠种植牙生活了吗?但是经过自己的了解,明白牙周疾病是不可逆的,现在牙齿已经损坏了,能做的就是及时止损,用种植牙保留住还有没有损伤的牙龈。

为什么这么说呢?因为长时间的牙齿缺失会造成牙龈萎缩后期种植牙也会困难重重,花销也更大。
顾客这次的一颗牙下来也就7000多元,一般种一颗植体再加上一颗全瓷冠可能就要上万元。
这样的费用真的是良心价了,看完这个你不心动吗?




