带着老爸体验了一把登腾allon4上半口种植牙后,他现在吃嘛嘛香
-
项目:
-
日期:2020-09-24 15:32:57 ( 1899天前 )
-
医院:
-
医生:
-
价格:
-
术前照片:
-
术后照片:
本案例内容由社区网友分享发布,如有侵权请联系本站删除
我爸可以称呼为老小孩,他有个爱好,就是特别的喜欢吃,不管到哪个地方,美食先走一波再说。因此大家都以为我爸的牙口肯定特别的好,其实随着年龄的增长,上半部分很多牙齿都松动了,但是他一点都不在意。
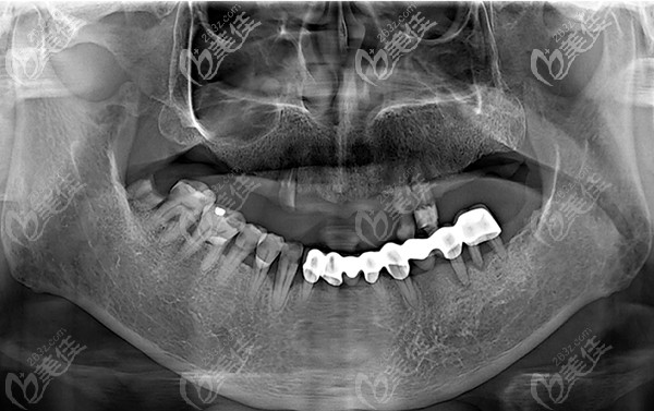
种植前牙片

要不是我这次特地带他去包头植诺口腔门诊做了一次牙齿检查,都不知道我爸的牙齿,因牙周炎导致牙齿出现松动掉落,想要修复已经无法保留了,需拔除后做种植牙才能修复。
种植牙植入后

种植后口内检查照片

上半口牙种植需要种几颗?12—14颗就可以了
半口种植不需要为每一颗牙齿都植入种植体,我爸做的是allon4,也就是只需要4颗种植体的种植牙技术,便可以进行半口牙(12-14颗牙齿)的种植。
可能有人奇怪,为啥我不选择假牙,而是非要让他老人家经历种植牙呢?
因为相对传统假牙来讲,种植牙更为牢固且使用方便,不用每天取戴。也没有口腔异物感,方便清洁,舒适性能好。
而且种植牙的固定桥根据患者牙模制作,贴合度高,也可以极大限度配合患者的肤色,牙床形状,使得其美观性极高。
重要的是,半口种植能恢复12-14颗牙齿功能,但是收费却仅收4颗种植体的费用,对于缺牙的患者来言还是很实惠的。

既然说到了价格,就跟大家汇报一下,我爸种植的半口牙,用的是韩国登腾,总体下来三万多,据说可以使用二、三十年呢,还是比较划算的。现在我爸又恢复了吃嘛嘛香的状态,真好。




