从金属活动翼技术矫正凸面型的案例中,看如何扶正歪倒的智齿
-
项目:
-
日期:2020-09-15 16:22:34 ( 1912天前 )
-
医院:
-
医生:
-
价格:
-
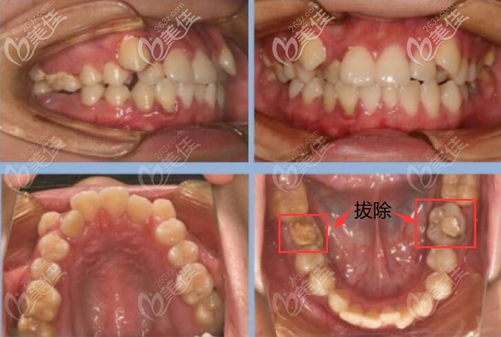
术前照片:
-
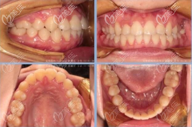
术后照片:
本案例内容由社区网友分享发布,如有侵权请联系本站删除
你知道在矫正中智齿也可以不拔吗?有的完好无损的好牙也可以为正畸所用吗?今天就是一例金属活动翼技术矫正方式去解决凸面型的真实案例分享。并且不用拔智齿哦。
娄底爱牙口腔医院金属固定矫正凸面型:
顾客口腔问题:
牙齿不整齐导致凸面型;也就是常说的虎牙(又叫尖牙)。

在大多数人认知中还是觉得虎牙是挺好看的,但是你知道尖牙外凸的危害吗?
从外观上讲:由于两边的牙齿外翘导致面部被撑起,显的面部比较方大。
从功能讲:尖牙本身在口腔中起到的作用是撕碎食物,但是由于外翘造成无法完成咬合功能,有可能引起颞下颌关节紊乱。

从这两方面来讲,医生还是比较建议做矫正的。
为了更方便矫正,而且文伟医生本身就擅长金属活动翼正畸所以顾客当即就选择用金属矫正器。

拔除牙齿:15,25,46,36;对于萌生不正的智齿进行正确的牵引,扶正后向前排齐。

其实这种方法也帮顾客节省了一笔开支,拔正常牙齿总比拔智齿便宜。而且从矫正后效果来看,文伟医生制定的方案也正确的。
这次矫正整个过程也就两年时间,当然一般的成人矫正时间也是两年。

综合来讲:这次矫正经历,不仅帮助顾客解决了凸面型的问题还顺便解决了智齿这个潜在隐患。一举两得,这次牙齿矫正可是说是成功的。
那你看只制定适合你的矫正方案的医生,你不看看吗?




