解答:天津河西区雅尔美口腔做单颗韩系种植牙需要多长时间
-
项目:
-
日期:2020-09-10 10:27:55 ( 1920天前 )
-
医院:
-
医生:
-
价格:
-
术前照片:
-
术后照片:
本案例内容由社区网友分享发布,如有侵权请联系本站删除
本来想在天津口腔做一颗种植牙,但是听说种植一颗牙有的需要一年的时间。
怎么?现在种一颗牙都这么难的吗?今天小编就来一一解答。
在天津河西区雅尔美口腔做单颗韩系的种植牙到底需要多久。

其实从开始种植到手术结束也就半个小时,但是后期的医院对顾客的情况持续跟进了半年之久。

顾客是一位年轻女性,来院反应说自己不想这么早因为掉牙,但是不想早早的就像老人家那样戴活动假牙,也不想磨损邻牙戴那种牙冠。所以直接选择种植牙。

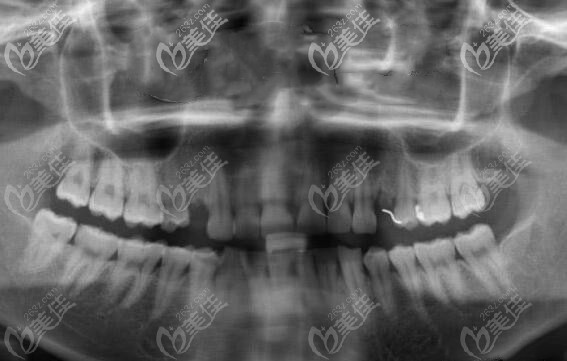
制定方案后,就帮顾客免费拍了口腔CT全景片,从CT片中可以看出来有单颗缺失,但是牙槽骨条件良好,无炎症,做种植也比较简单,性价比比较高的韩国登腾种植体就可以做。

天津雅尔美口腔的医生就利用数字化电脑进行了简单的设计,避开血管神经,确种植体的位置,以及种牙后的牢固性。确方案后就开始手术。

手术过程也很快,当然一部分是因为医生技术成熟,还有一部分是因为顾客的配合。
手术时间也就把半个小时就完成了,当天为顾客戴临时冠,
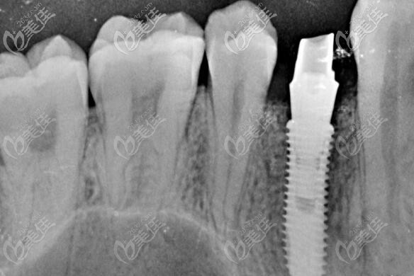
后经过六个月的观察后发现修复效果良好,从图片可以看出哪个是种植牙吗?

种植牙修复后,种植体与牙槽骨紧密结合,种植牙与真牙外观极其相似,上下牙咬合正常,种植体周边无骨吸收情况。可以说手术是很成功的。




