2颗门牙做了烤瓷牙后箍牙成功:我用国产自锁托槽矫正了骨性龅牙
-
项目:
-
日期:2020-09-08 10:28:38 ( 1921天前 )
-
医院:
-
医生:
-
价格:
-
术前照片:
-
术后照片:
本案例内容由社区网友分享发布,如有侵权请联系本站删除
我是在闺蜜的陪同下来德博口腔做了国产自锁托槽矫正,目前矫正的周期已经有三年了,下个月就可以摘掉牙套啦。

骨性龅牙+露龈笑,听人说烤瓷牙能改善龅牙,就傻兮兮的把门牙做了烤瓷牙,但改善不大,侧脸依旧很丑。

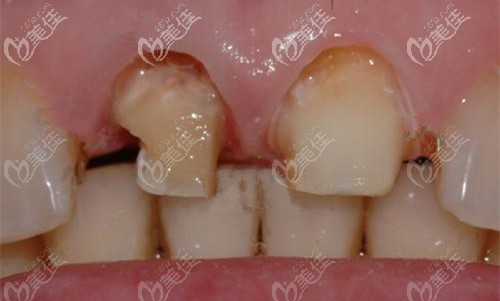
门牙磨小以后做的烤瓷冠▲
之后面诊了保山口腔科,医生直接说我的牙齿是骨性,单纯正畸效果不大,建议做正颌手术。后来有面诊了几家不同的医院。斟酌许久还是选择在德博口腔。
拍片后确定了方案,拔了4颗4号牙,两颗智齿,戴的普通的金属自锁托槽,把2颗门牙的烤瓷牙换成了树脂牙后再做矫正。医生特别nice,技术灰常好~

▲10个月

▲12个月
戴牙套的头一年,整个人真的丑出了新高度,开始收缝后,肉眼可见的变化!

▲14个月
和之前的照片对比可以看出凸起的部分完全平了。可以很自然的闭嘴吧,下巴也出来啦。侧颜简直无敌啦,哈哈~▼

下牙缝大概还有2mm就收完了,上牙缝大概还有5mm▼

▼这会下牙快收完了,上牙正在拉虎牙哦,差不多年底就可以摘牙套啦,凯森~

其实我觉得嘴巴还有点点凸,不过还有这么大的缝,可以继续收收收…
戴牙套快三年啦,因为复诊频率不高+中间托槽掉了一次,所以还在戴,大家可不要学我哦!

现在闭嘴基本看不出来有牙套的存在了,因为疫情的原因摘牙套推出了半年多,不过医生说我下个月就能摘掉啦,炒鸡鸡冻~




