牙齿咬合错位,在口腔戴自锁钢牙套的矫正经历
-
项目:
-
日期:2020-09-04 21:05:43 ( 1924天前 )
-
医院:
-
医生:
-
价格:
-
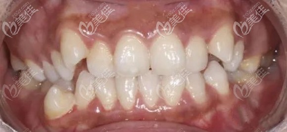
术前照片:
-
术后照片:
本案例内容由社区网友分享发布,如有侵权请联系本站删除
第1次在这个网站分享我的整牙经历,不知道会有多少朋友看到。呵呵,我主要是牙齿咬合错位,是在我们自贡的新桥口腔做的牙齿矫正,戴了两年的自锁钢丝牙套。

以前只是以为牙齿不整齐就是单纯的不好看,没想到医生说牙齿不齐,咬合是错位的,不良的咬合关系会对颞颌关节造成损伤。
我就有这种情况,就是吃东西时会听到耳朵前方那个部位的关节,咯噔咯噔的响,原来这就是医生所说的颞颌关节紊乱症,和我的咬合错乱颇有关系。

为了矫治这口凌乱的牙齿,医生让我拔了两颗牙(一颗智齿,一颗多长的),磨大了4颗门牙的缝隙,专业术语叫作“片切”。
目的就是给拥挤的牙腾出空间,好让它们排列整齐。

其实矫正牙齿对我来说,牙齿酸痛根本不算什么,毕竟只是在初戴牙套的两周内和每次加力后的头两天,但是日常的清洁工作倒真是麻烦。
我戴的是那种自锁的金属托槽牙套,每次吃过饭,托槽中会卡许多食物残渣,那画面特别醉人......
在上周日,我的牙套之路终于结束了,太激动了,再也不用处理托槽上面的残留食物了.....

不过虽然不带牙套了,但是还要坚持戴两年的保持器,这个是透明的,有点像隐形矫正器,不影响吃饭刷牙哈。

当然,牙齿整齐了,从医学角度来说是咬合关系恢复正常,从我的角度来说是,整完牙,笑起来好看了好几个档次呢。




