20岁学生分享:在北京牙管家佩戴唇侧金属固定托槽矫正的经历和价格
-
项目:
-
日期:2020-09-04 09:06:26 ( 1919天前 )
-
医院:
-
医生:
-
价格:
-
术前照片:
-
术后照片:
本案例内容由社区网友分享发布,如有侵权请联系本站删除
20岁还能做牙齿矫正么?其实,牙齿矫正没有年龄限制,只要牙周健康都可以做,看看20的柳同学在北京牙管家口腔做佩戴唇侧金属固定托槽矫正牙齿地包天的经历,顺便分享下价格。
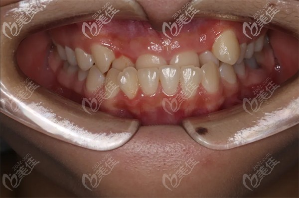
好奇20岁的柳同学在北京牙管家矫正前的牙齿状态

面诊医生的时候,柳同学说自己的牙齿困扰是地包天(反颌),牙齿拥挤。
因为这个,让她中面部看起来凹陷,整个脸型就不好看,她平时很自卑,都不敢太张口说话,希望能通过矫正牙齿来改善形象。

了解柳同学的大致情况后,先让她做口腔检查,结果:
发现她骨性三类、上颌三度拥挤,左下6大面积缺损,上颌中线左偏2毫米,上唇塌陷欠丰满,下唇前凸。

因为柳同学年纪还小,对颜值比较在意,所以安排院内审美和技术比较好的医生负责给她做正畸。
【矫正方案】:
她的下颌需要打两颗支抗钉,目的是为了排齐内收下前牙,上颌也需要两颗支抗钉,解除上前牙拥挤、骨性反颌问题。
光靠支抗钉当然不行,医生选择用唇侧金属固定矫正器中的美国MBT直丝弓矫治。

其实一般的医生都会采用传统金属托槽矫正来解决,但是考虑到柳同学想要效果好、花费时间短,所以医生采用这个矫正方案。
期待看看柳同学19个月后的矫正效果吧

从上图可以看到,柳同学现在的牙齿情况:上下牙中线对齐,牙齿覆合覆盖正常,不管是从正面还是侧面都可以看到她的形象确实比以前好看很多。
看了效果,还想知道在北京牙管家口腔做矫正价格吧
传统金属托槽矫正:20000元起;
半隐形牙齿矫正:33700起元;
时代天使隐形矫正:30000起。




