这例中度牙齿拥挤不齐的矫正案例,出自佛山南海区拜尔牙科
-
项目:
-
日期:2020-09-03 18:59:29 ( 1924天前 )
-
医院:
-
医生:
-
价格:
-
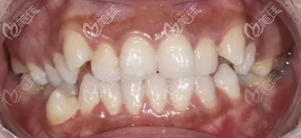
术前照片:
-
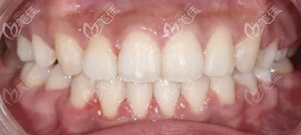
术后照片:
本案例内容由社区网友分享发布,如有侵权请联系本站删除
哈喽,佛山的牙友们大家好,本期更新一例中度牙齿拥挤不齐的矫正案例,还是从佛山南海区的拜尔口腔随机抽取的哈。

【案例详情】:这位整牙的小仙女自述,牙齿不整齐,虎牙不好看,不敢随心所欲的大笑......所以,下定决心要矫治这口乱牙。

【戴牙套日期】:2019年1月15日。
【牙套类型】:金属自锁矫治器。
【正畸方案】:拔牙2颗,其中一颗是长歪了没有用处的牙,一颗智齿。
【矫正时长】:20个月。
【矫正过程】:拔牙过后十多天,正式进入矫正之路。

其实她有两颗智齿,为什么只拔了一颗呢?因为小仙女上排大牙之前因为蛀牙拔掉一颗,这么大的空隙,一般人是需要种植一颗牙来替补的。
但是,她这颗智齿刚好能排上用场,院长把智齿移动到前面的位置来替代磨牙用,一举两得,还省了一笔种植费用呢。

小仙女说,矫正牙齿也就是刚戴上牙套的时候,牙齿会非常酸痛难受,嘴巴里面也经常被磨出溃疡,前一周几乎都是喝粥或者吃很软的东西。
后面慢慢感觉就没有那么强烈了,就是每次复诊加力时会痛两天,不过都没有刚开始那么强烈.......

【矫正效果】:一年多的牙套日子就不细说了,总之在摘掉牙套后是一口整整齐齐的牙齿,看起来赏心悦目多啦!接下来进入和保持器好好相处的日子了!




