牙列拥挤+深覆合矫正效果你值得一看,花费两年时间也值得!
-
项目:
-
日期:2020-08-20 16:39:00 ( 1939天前 )
-
医院:
-
医生:
-
价格:
-
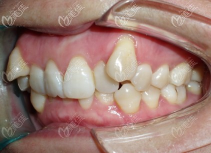
术前照片:
-
术后照片:
本案例内容由社区网友分享发布,如有侵权请联系本站删除
不知道大家伙有没有牙齿出现过不齐的情况,反正我是从小到大深受困扰,终于在我38岁这年狠狠心去做了矫正,今日来为大家分享我牙列不齐+深覆合的矫正效果吧!

矫正前有一大堆的犹豫和担心,怕年龄大矫正效果不好,怕矫正后牙齿松动,害怕拔牙……但戴上牙套,看到牙齿的变化以后,瞬间真香!这大概说的就是我了吧!

小时候觉得自己的小虎牙很突出还觉得怪好看,一直到毕业都没有意识到自己是牙齿拥挤的问题,直到毕业进入职场后,一位看过牙的同事说我这是牙齿太挤了,把我虎牙给挤到上面去了,我当时还是没有引起重视,直到周边的人都说我嘴巴咋那么突出,这才想到去看医生。

当时对这也不了解,问了可多人,也去了好多私立的口腔机构(公办排队欲哭无泪,大家想必都懂得)走来走去还是定了这个苏齿博信口腔!

我记得当时给我面诊的是个男医生,姓张吧好像是,说话挺和气的,拍了片子,定的是牙齿拥挤、虎牙突出、轻度深覆合,我的天,不看医生都不知道自己的牙齿这么多问题,医生给出了三套方案,好像是什么透明的、钢丝的、还有个舌侧的吧,价格太贵了,就没敢考虑,定的是钢丝的,毕竟价格便宜嘛!

当时定的矫正周期是两年,我是上个月才取下的牙套,去医院复诊的,感叹一下吧!这两年的艰辛,没做过矫正的人是体会不到的,好在一切值得,牙齿恢复正常,颜值嘛,自然也提高了,连老公都说我变漂亮了!

接下来简单给大家说说关于啥时候做矫正比较好这个问题吧!
我问了医生,医生给我的回答是,只要想矫正,啥时候都不晚,但是越拖,矫正难度越高,花费的经济也越多,矫正的时间也会越长,我这两年都够长了,还得带三年的保持器,要是早些年来矫正,就不用这么麻烦啦!不过幸好,我为时不晚,早些变美了,那你们呢?




