骨性地包天不手术+不拔牙的秘诀则是找张栋梁做了舌侧隐形矫正哦
-
项目:
-
日期:2020-08-10 16:44:19 ( 1944天前 )
-
医院:
-
医生:
-
价格:
-
术前照片:
-
术后照片:
本案例内容由社区网友分享发布,如有侵权请联系本站删除
有人问我骨性地包天必须手术吗,用我的案 例告诉你,在北京禾禾齿科找正畸医生张栋梁价格不贵效果还好!我做的舌侧矫正,总共费用6万左右~

反颌矫正前后的变化图▲
初中的时候发现自己是反颌,因为父母不同意,所以一直没有矫正。18年来北京上,看到很多漂亮的菇凉,加深了我想要正畸的想法。
之前在网上做了很多功课,也问诊了很多医生。大多都建议做正畸正颌手术来改善,但我觉得正颌手术太痛苦了……

经过多方面咨询,得知北京实力+人气并存的是尤为擅长舌侧正畸的张栋梁和擅长隐适美的医生。
没有选择周医生的原因是费用太高,基本报价都在十万左右;而张的报价是5.5万起。
【贴出我找张栋梁正畸的经历】
果断到禾禾齿科面诊,咨询了目前较为担心的一些问题,如是否矫正后地包天会变成龅牙,只改变咬合脸型无变化以等。

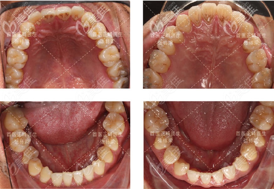
地包天用舌侧隐形矫正牙齿的改善情况▲
张很有耐心的为我一一解答,利用院内的数字化设备让我看到了矫正过程中每颗牙齿移动的位置以及矫正后的效果。
而真正促使我把自己的牙齿交到张栋梁医生手里的关键点在于,他近3万的海量案 例库大多数都是选择尽量不拔牙。

上下颌牙齿都有所改善,且没有牙齿出现脱矿的情况▲
【我的反颌舌侧矫正方案】
利用种植支抗整体远移下牙列,解除反颌,并增加上前牙负转矩以及下颌前牙的正转矩,等前牙反颌解除后,升高下颌后牙,倾斜颌平面,促使下颌向下向后旋转。

地包天(反颌)矫正前后脸型的改变▲
而经过将近两年的周期,我的矫正已经结束了,咬合达到了正常,上下中线也一致,整体的面貌得到了很大的改善,达到了自己预期的满意效果!




