成都比较出名的正畸医生李文星等全新整牙案例分享,有地包天和龅牙者速看
-
项目:
-
日期:2020-07-28 09:35:27 ( 1957天前 )
-
医院:
-
医生:
-
价格:
-
术前照片:
-
术后照片:
本案例内容由社区网友分享发布,如有侵权请联系本站删除
在成都比较好的正畸医生排名榜中,排在前列的李文星医生、陆开盛医生等一直都很受关注,本期给大家分享的就是他们近期的一些整牙案例,有地包天或龅牙症状的朋友速速来看啦!

分享几组整牙案例,希望能给大家带来一些鼓励和期待:
成都牙齿矫正李文星医生案例赏析 ↓
(1)这是一位15岁女生的矫正前后效果,属于二类骨性龅牙,主观表现为牙齿和嘴巴外突,且无法自然闭合,所谓唇齿相依,一损俱损。
幸运的是,李文星医生帮小姑娘既纠正了牙齿,还改善了凸面型~~~

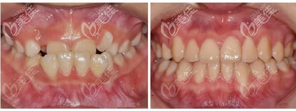
(2)这为顾客的牙齿就比较“另类”了,七进八出的,他初次来咨询时,是戴着口罩来的,说没有口罩“掩护”,说话都不自然。
在经过1年零9个月的牙套日子后,这前后效果,不言而喻。

当然,矫治牙齿的功臣非正畸医生莫属,而这位具有高颜值,高技术的李文星医生,小编觉得还是很有必要给大家介绍一下哦!

李文星——正畸学博士,incognito舌侧矫正、美国隐适美、时代天使、芬兰罗慕等矫正品牌认证医师,是一位专术专攻的正畸医师!喜欢以简单易懂的方式沟通哈。
李文星医生说了:好的医院不一定适合你,只有适合的医生才能帮助到你,才会使你达到一个良好的正畸效果。
牙齿不整齐、不好看,虽说不是什么大病,但对颜值容貌的影响也确实不容小觑。
就像这些顾客们,在开始的时候情况是那么的如出一辙,牙齿不好看,不自信,不敢露牙笑,想改变.....
在通过矫正改变后,大家的情况也那么的“如出一辙”,变得开朗,变得爱笑!
所以说,矫正牙齿一定是个正确的选择,也是件物超所值的变美投资,但,找对医生才能见效哦!
文末,再上几组陆开盛等医生的整牙案例......

陆开盛院长的地包天矫正案例 ↑ ↑

曾红医生的牙列不齐矫正案例 ↑ ↑

李琴医生的深覆合矫治案例 ↑ ↑




