对比了南京正规牙科医院的价格后,反颌地包天姑娘选择在私立口腔做了隐适美矫正
-
项目:
-
日期:2020-05-14 11:06:31 ( 2037天前 )
-
医院:
-
医生:
-
价格:
-
术前照片:
-
术后照片:
本案例内容由社区网友分享发布,如有侵权请联系本站删除
时不我待,时间过的很快,一位地包天反颌即将摘掉隐适美牙套的菇凉来说说南京美奥口腔做正畸的情况。
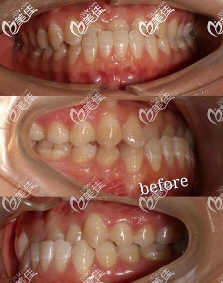
我的牙齿情况:反颌,地包天,咬合不正常

矫正前的牙齿
选择南京美奥口腔的原因
南京美奥应该是很多人都知道,一直在广播里听到广告,广告做的比较多,知道这家也是广告听到的。
之前有朋友去过,说还可以,环境好,服务也不错,所以决定矫牙时我就过来了
正畸的话,他们家牙套很多,基本上传统托槽,半隐形,全隐形,国产,进口,儿童功能矫治等市面上评价比较好的各类产品都有。

其实去了美奥之后我还去了腔医院咨询,挂号之后我上楼等了大概两个多小时,医生说隐形牙套和钢牙都可以做。
价格:
钢牙国产1万多,接近两万
钢牙进口两万多
国产隐形三万多
进口隐形四万多
原本以为比私立便宜一些,没想到比私立还贵,果断pass,
在美奥口腔我选的隐适美牙套价格做活动隐适美减4000元,下来4万出头。

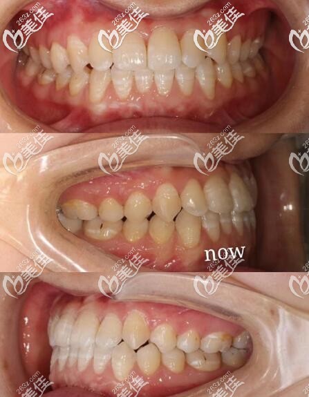
前后侧面对比
隐适美是真的名副其实隐形,不说的话别人真的完全看不出来,每次佩戴之后一定要咬咬让牙套和牙齿贴合,佩戴感几乎无感,只有每次更换新牙套的前两天会有酸痛。

矫正后的咬合
关于正畸效果:戴了1年半,讲真看对比图咬合改善很多,地包天也改善了。虽然我觉得矫牙价格挺贵的,但矫正带来的好处,不是这几万块能给你的。我个人牙齿的问题导致法令纹很深,矫正有所改善。




