地包天正畸打卡温州这家口碑好的牙科,隐适美价格虽贵但钢牙不能忍
-
项目:
-
日期:2020-04-28 14:58:20 ( 2052天前 )
-
医院:
-
医生:
-
价格:
-
术前照片:
-
术后照片:
本案例内容由社区网友分享发布,如有侵权请联系本站删除
大龄女青年隐适美矫正,打卡温州爱牙故事,牙齿是地包天,po出大波对比图,自行感受下变化。

图一侧面前后对比
牙齿对气质的影响是毁灭级的,我是那种地包天,下牙前凸的那种,侧面看瞬间变得很土,矫正牙齿这事儿呢,想做很久了,隐形虽然贵,但是钢牙我不能忍。

关于我的牙齿,很多人都说没必要矫正。正面看还好,侧面真的一言难尽,地包天,咬合有问题。

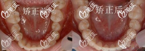
图三咬合前后对比
去了温州两家口腔医院面诊,一家是牙博士口腔,一家是温州爱牙故事,在网上口碑都不错。
牙博士在温州有2家店,温州爱牙故事有三家店,都是连锁。
两家环境都很不错,但是网上看到爱牙故事的案例更多一些,加上当时赶上活动比牙博士便宜,下来一共4.3万多。

爱牙故事环境
隐适美的流程:面诊→拍牙片→医生帮你决定是否需要拔牙→然后口描仪把你满口牙齿的形态全部扫描下来发送到美国隐适美公司去制定方案,这个过程大概需要一周。
一周后医生会邀约你前往医院看方案,不满意可以调整,满意就安排美国隐适美公司制作牙套啦。

拿到牙套异常欣喜,每个人的牙套都会有自己的名字和主治医师的名字在上面,量身定制哦,戴上还真的看不到,也不会有刮伤口腔之类的问题,十分nice 。
每次换完牙套一定要咬咬胶让牙套和牙齿贴合。

图四前后牙弓对比

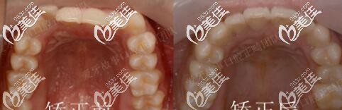
图五下前牙对比
矫正用了1年半,地包天明显改善,牙弓也扩开了。正畸期间口腔护理很重要,如果出现了口腔有异味或炎症,就要隔两到三天使用牙套清洁片把牙套泡一泡,必要时可用酒精棉片对牙套进行消毒。
还有保管好牙套,不在嘴巴里时放在牙套盒中,防止丢失,以免牙重启方案。





